How are bunions diagnosed?

How are bunions diagnosed?

How are bunions diagnosed?

A bunion is as obvious to the affected individual as it is to the treating doctor who will generally be able to diagnose it during a visible inspection (physical examination), making for a fairly straightforward diagnosis.

A physical examination may involve a doctor requesting the patient to attempt to move the big toe of the affected foot back and forth. This is to assess the level of severity of limited movement and flexibility. A doctor will likely ask a series of questions that will help to better understand the nature of the symptoms being experienced. These can include:

  • How long ago did noticeable problems with your foot begin?
  • Do you experience pain? If so, when do you most experience it, and to what extent? Is it mild, moderate or severe enough to impact your walking ability almost entirely?
  • Whereabouts on the foot do you generally experience pain?
  • What type of shoes do you generally wear?
  • Do you wear the same shoes fairly frequently, and for long periods of time?
  • Have you tried anything that has seemingly provided symptom relief, or appears to have worsened symptoms?

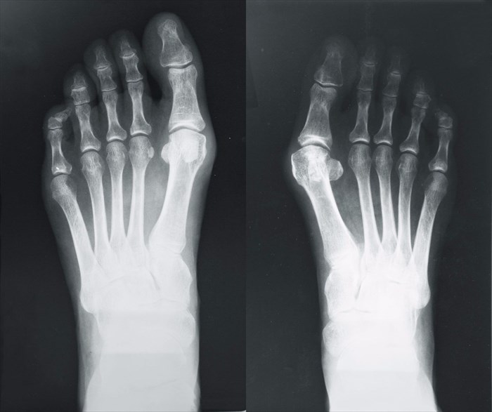
Further diagnostic analysis may be recommended should a doctor wish to determine the severity of deformity, or alternatively if an injury to the toe, joints or other structures is suspected. In this case, an X-ray may be recommended. Interpretation of radiographs (the X-ray films) can help a doctor to assess the alignment of joints in the foot, and the degree of impact the deformation is having on the foot as a whole. An X-ray will also be used as a screening mechanism for any other possible conditions that may be present, like gout or arthritis.

X-ray of a foot with valgus breach bones (bunion).

A doctor will also measure the angles between the bones in the foot (i.e. the hallux valgus angle / HVA). This is to determine the degree of the angle between the first metatarsal and the big toe (second metatarsals / or intermetatarsal angle). The development and progressive stage of a bunion will alter these angles. Normally, the upper limit of the HVA is about 15 degrees, and the intermetatarsal angle (IMA) 9 degrees. Using the information gained during an evaluation, a doctor will be able to gauge the severity of the bunion.

A blood test may also be recommended, should other inflammatory diseases, like rheumatoid arthritis (RA) or gout, or even an infection, be suspected of influencing the symptoms being experienced. In this way, blood tests can either help to diagnose or rule out a possible underlying cause (or aggravation of the condition).

Once a doctor is able to diagnose a bunion and determine the severity of its progression, he or she may then make suggestions for treatment, which can involve recommendations for orthopaedic shoes (footwear), often with customised inserts, as well as medications and even surgical options if necessary.

A doctor may suggest periodic check-ups once a diagnosis is made (which may involve regular X-ray screenings), to evaluate the progression and success rates of the treatment implemented shortly after a diagnosis.

PREVIOUS Recognising the signs and symptoms of bunions
NEXT How are bunions treated?