How does lupus affect the body?

How does lupus affect the body?

Lupus can affect any area or multiple areas of the body. To diagnose or treat lupus, it is important to understand how it affects various areas differently.

These areas of the body are often affected by lupus:

Lupus and the eyes

Dryness or a ‘gritty’ sensation are common eye problems. Blood vessel changes in the retina can also weaken or impair a person’s vision. Nerves and muscles that help control eye movements can also be damaged as a result of lupus.

How lupus may affect the joints and muscles

Similar to arthritis symptoms, those with lupus may experience joint pain, stiffness and swelling is most commonly experienced in the hands, wrists and feet. Swelling may not damage the joint directly, but it can be painful. Muscles merely weaken in the body.

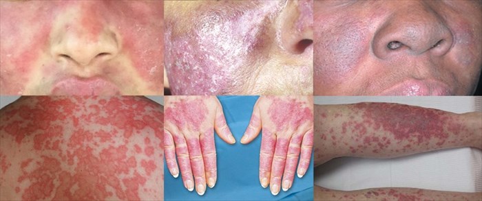
How lupus may affect the skin

UV rays in sunlight affect the sensitive skin of a lupus sufferer and causes many changes. Common problems include red, scaly bumps or patches, coin-like patches (discoid lesions), subacute cutaneous lesions (which are commonly experienced on the arms, shoulders, neck, or upper torso), red, ring-shaped rashes and a butterfly-shaped rash (this can be appear as a faint blush or a severely scaly rash).

Mouth or nose sores (ulcers), alopecia (hair loss where hair follicles become damaged, fragile or brittle) and white or blue fingers and toes that may tingle, hurt or go numb (Raynaud's syndrome) are also common skin-related problems.

Skin changes can also occur in the lower legs in the form of red / purplish spots. Inflammation and damaged blood vessels show up as small red / purplish spots or larger knots, as well as lines or spots (bumps) in the folds of your fingernails or finger tips (cutaneous vasculitis lesions). Skin tissue can become severely damaged and result in gangrene.

If ever you notice small black spots on your fingers or toes, immediately consult your medical doctor. Livedo reticularis (a bluish, lacy pattern under the skin, resembling a ‘fishnet’ type of look) can also appear on the legs. As with Raynaud’s syndrome, this skin problem typically worsens in colder weather.

Lupus disease pictures

Possible lupus effects on the heart and lungs

Lupus sufferers are at greater risk of developing heart disease or suffering from a stroke because of long-term inflammation in the body. Inflammation can occur in the heart, or the sac that surrounds it, causing sharp pains in the chest area. Inflammation is also commonly experienced in the outside lining of the lungs (pleura), causing pain particularly when inhaling (taking in a deep breath). This inflammation is often referred to as pleurisy. Inflammation can cause scarring (damage) and lead to problems with shortness of breath.

How lupus may affect the kidneys

Damage to the kidneys as a result of inflammation can be permanent. This often results in swelling in the legs or high blood pressure. Blood cells or the presence of protein in your urine are often signs of kidney damage. In extreme cases, permanent damage can lead to kidney failure requiring dialysis.

Lupus and the brain and central nervous system

Memory loss, confusion or clouded thinking, headaches, anxiety, depression, stroke and seizures are often signals that there is some degree of damage in the brain or nervous system. All these symptoms can be caused by lupus.

 

PREVIOUS Symptoms of lupus
NEXT Causes and cutaneous types of lupus